Broken Ankle
Moderator: HAZ - Moderators
Linked Guides none
Linked Area, etc none
-
RowdyandMeGuides: 7 | Official Routes: 0Triplogs Last: none | RS: 620Water Reports 1Y: 0 | Last: 787 d
- Joined: Jul 16 2012 5:48 am
- City, State: Green Valley,Az
Broken Ankle
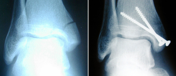
Well I broke my ankle 8 days ago and I am still waiting for surgery. I meet tomorrow with the surgeon to see if the swelling is down enough to do the surgery. I know they will be putting in metal plates and screws on both sides of my ankle. And I am not ready to sit and do nothing. So what I am asking is that anybody who has had this surgery how long before I can at least walk on it or even drive.
Rowdy and Widowmaker
contribute to this member driven resource
ie: RS > Save/Share after hikes


-
Tough_BootsGuides: 0 | Official Routes: 6Triplogs Last: 2,504 d | RS: 20Water Reports 1Y: 0 | Last: 2,644 d
- Joined: Mar 28 2008 7:08 pm
- City, State: Phoenix, AZ
Re: Broken Ankle
I haven't had ankle surgery but doctors are doing magic now so don't get discouraged. I had back surgery 4 years ago and was able to make it to Brown's Saddle in deep snow after about three months of recovery. You'll be a hiking machine with those metal parts 

contribute to this member driven resource
ie: RS > Save/Share after hikes


-
jochalGuides: 2 | Official Routes: 3Triplogs Last: 89 d | RS: 1Water Reports 1Y: 0 | Last: never
- Joined: Sep 13 2009 7:43 am
- City, State: Mesa, AZ
Re: Broken Ankle
Hesitate to post, since this was a different injury, but may have enough similarities to be useful. You might ask the doctor to compare recovery for your injury to recovery for mine.
I messed up all the outside ligaments in my left ankle 2 years ago, coming down from Superstition 5057. It was 2 total tears and 1 partial tear (almost 3 for 3!), which is bad enough for the doctors have said I might as well have broken my foot. If I look at my triplog history, the incident was 1/28/2012. I didn't have the surgery until a month after the incident, due to scheduling. I think it was 3/5, more or less. It looks like I was hobbling around the gilbert riparian preserve, on crutches, by 4/1, which means I could probably use the foot for balance (say 20 lbs of pressure). 4/15 I went to the Desert Botanical Garden, and I remember that being in the boot but not on crutches. 4/23 I walked up and down the Scottsdale Greenbelt in an ankle brace, and I remember by mile 7, I was starting to limp, by mile 8, I was starting to think I really should call someone to take me back to my car, and 11 (the end) thinking, that was stupid. My first 'hike' was 5/6, the javelina ridgeline beverly loop on south mountain, and I did it without the brace. It looks like 5/19 I was back to what I would call easy, moderately cautious hiking on 5/19, the goldmine trail in san tan park. 6/5 I was able to do Pyramid on South Mountain, carefully, and then it was slow but steady progress from there. Honestly, I don't think I could hike without keeping my ankle in mind a little for about a year. The doctors told me it would take 6 months to be mostly there, and a year to be all the way; they were exactly right. I should also note I believe I started physical therapy early/middle of April, and went for a month. I actually met hazer suzaz at physical therapy; you think you have it bad, look up her injury history (its fitting that ive met hazers 2 places: on the trail, and in physical therapy).
I think my recovery went pretty well, and I think it was specifically helped by one major thing: I had to get outside, so I did, just on crutches; then walking with the boot. It wasn't the Superstitions, but the riparian preserve was at least something. Getting outside and getting some form of aerobic exercise is very important.
Also let me say again, what the doctors estimated about my recovery turned out to be on the money. These injuries are routine for them; they know whats up.
You injured your left ankle, also, correct? Car with an automatic? For my case, I was able to start driving a week after the incident, just had to be super careful getting in and out of the car. Might be helpful if you elaborate on what specifically is keeping you from driving.
I messed up all the outside ligaments in my left ankle 2 years ago, coming down from Superstition 5057. It was 2 total tears and 1 partial tear (almost 3 for 3!), which is bad enough for the doctors have said I might as well have broken my foot. If I look at my triplog history, the incident was 1/28/2012. I didn't have the surgery until a month after the incident, due to scheduling. I think it was 3/5, more or less. It looks like I was hobbling around the gilbert riparian preserve, on crutches, by 4/1, which means I could probably use the foot for balance (say 20 lbs of pressure). 4/15 I went to the Desert Botanical Garden, and I remember that being in the boot but not on crutches. 4/23 I walked up and down the Scottsdale Greenbelt in an ankle brace, and I remember by mile 7, I was starting to limp, by mile 8, I was starting to think I really should call someone to take me back to my car, and 11 (the end) thinking, that was stupid. My first 'hike' was 5/6, the javelina ridgeline beverly loop on south mountain, and I did it without the brace. It looks like 5/19 I was back to what I would call easy, moderately cautious hiking on 5/19, the goldmine trail in san tan park. 6/5 I was able to do Pyramid on South Mountain, carefully, and then it was slow but steady progress from there. Honestly, I don't think I could hike without keeping my ankle in mind a little for about a year. The doctors told me it would take 6 months to be mostly there, and a year to be all the way; they were exactly right. I should also note I believe I started physical therapy early/middle of April, and went for a month. I actually met hazer suzaz at physical therapy; you think you have it bad, look up her injury history (its fitting that ive met hazers 2 places: on the trail, and in physical therapy).
I think my recovery went pretty well, and I think it was specifically helped by one major thing: I had to get outside, so I did, just on crutches; then walking with the boot. It wasn't the Superstitions, but the riparian preserve was at least something. Getting outside and getting some form of aerobic exercise is very important.
Also let me say again, what the doctors estimated about my recovery turned out to be on the money. These injuries are routine for them; they know whats up.
You injured your left ankle, also, correct? Car with an automatic? For my case, I was able to start driving a week after the incident, just had to be super careful getting in and out of the car. Might be helpful if you elaborate on what specifically is keeping you from driving.
contribute to this member driven resource
ie: RS > Save/Share after hikes


-
wallyfrackGuides: 0 | Official Routes: 6Triplogs Last: 19 d | RS: 0Water Reports 1Y: 1 | Last: 355 d
- Joined: Mar 11 2003 7:33 pm
- City, State: AZ
Re: Broken Ankle
I broke my right ankle in 93. I have a plate & twelve screws in it. You can have them removed later but I didn't see the point in it.
I think I was in the boot for 8 weeks. I used to ride my bike with the boot for a little freedom.
After the 8 weeks my ankle was
froze (adhesions) and my right calve wasted away (atrophy). The left calve was super buff because I could hop on one leg faster than
walking with crutches and was hopping across parking lots and going up stairs. About a week after losing the boot I forgot myself
one day and jump on my right ankle to run into the store. The ankle cracked a bunch of times which scared me but it didn't hurt.
Then I realized I could bend my ankle again and from there stretching and working the cave muscle over the the next 6 months was
the final step. I think my range of motion is at 95% and the right calve is the same size as the left. The ankle was somewhat swollen
for a while and slowly returned to normal size probably in the 6 months after.
I think I was in the boot for 8 weeks. I used to ride my bike with the boot for a little freedom.

froze (adhesions) and my right calve wasted away (atrophy). The left calve was super buff because I could hop on one leg faster than
walking with crutches and was hopping across parking lots and going up stairs. About a week after losing the boot I forgot myself
one day and jump on my right ankle to run into the store. The ankle cracked a bunch of times which scared me but it didn't hurt.
Then I realized I could bend my ankle again and from there stretching and working the cave muscle over the the next 6 months was
the final step. I think my range of motion is at 95% and the right calve is the same size as the left. The ankle was somewhat swollen
for a while and slowly returned to normal size probably in the 6 months after.
contribute to this member driven resource
ie: RS > Save/Share after hikes


-
outdoor_loverGuides: 7 | Official Routes: 6Triplogs Last: 44 d | RS: 2Water Reports 1Y: 36 | Last: 131 d
- Joined: Aug 19 2011 7:49 pm
- City, State: Scottsdale, AZ
Re: Broken Ankle
In a way, provided that you don't also have extensive Ligament and Tendon Damage, "breaking" was probably a far better thing...Jochal probably had his Doctors tell him that he would have been better off breaking it than doing what he did...The Recovery time is way worse and sometimes it's never the same again, but since he had Surgery, maybe they were able to stave off the long-term effects...All I know is, do what you can, but don't rush it...If you get too impatient and do something you shouldn't, you could end up setting yourself back even longer and doing more damage...Listen to your Doctor, listen to your Therapists, work hard and you'll be much better off....Like Jochal said, they see this sort of stuff all of the time, they know what they're talking about....I came back from a completely blown ACL with Cartilage Damage 20 years ago...I had to start from scratch, by the time they did the Surgery I had been on Crutches for 5 weeks and had no Leg left as Wally can relate...6 Months of hard work, sweat and tears and I was 93% and could do anything I wanted except "Jogging"...Since all of our Vehicles had a "Clutch", I couldn't drive for about 1 1/2 Months after surgery....I "crutched" my way around the Mall of America a few times just to get out, lol! (Just a hindsight note on that, wear Gloves to avoid blistered hands, LOL!) Good Luck Larry and remember, patience in this case, can be a virtue.... ;)
Life is not a journey to the grave with the intention of arriving safely in a pretty & well preserved body, but rather to skid in broadside, totally worn out & proclaiming, "Wow What a Ride!"
contribute to this member driven resource
ie: RS > Save/Share after hikes


-
RedRoxx44Guides: 5 | Official Routes: 0Triplogs Last: 8 d | RS: 0Water Reports 1Y: 0 | Last: 6,339 d
- Joined: Feb 15 2003 8:07 am
- City, State: outside, anywhere
Re: Broken Ankle
Yes, listen to the physical therapist first, then the ortho--- ;) , then do what you can if it don't hurt your probably safe 

contribute to this member driven resource
ie: RS > Save/Share after hikes


-
----Guides: 0 | Official Routes: 0Triplogs Last: none | RS: 0Water Reports 1Y: 0 | Last: never
- Joined: Aug 11 2012 11:15 pm
Re: Broken Ankle
Man I'm sorry to hear about your ankle injury. I can't relate since I'm sure you're aware that I almost died a few months back because of an accident, but my recovery continues going well and I should get back to 100% through more patience and hard work, and I just want to get busy hiking continuously again. You should probably listen to docs and therapists, unlike me. I complained and moaned until the therapists left me alone, and I'm still so glad about that. Other than that a couple of years ago I broke my right pinky horribly while hiking and had to get surgery and 2 permaent screws. Complete healing and recovery took time but went amazingly well.
contribute to this member driven resource
ie: RS > Save/Share after hikes


-
toddakGuides: 13 | Official Routes: 6Triplogs Last: 22 d | RS: 0Water Reports 1Y: 0 | Last: 1,538 d
- Joined: Nov 15 2005 8:46 pm
- City, State: Jackson, CA
Re: Broken Ankle
Two screws in the right ankle after a freak rockclimbing incident at age 38. A week on the couch, no weight on it at all for a month, very gradual use after that, 6 months for full recovery. I first started putting weight back on it while in a swimming pool in chest-deep water, the buoyancy helped keep the stress low. Patience is the key, you'll need that ankle for the rest of your life!
contribute to this member driven resource
ie: RS > Save/Share after hikes


-
Tough_BootsGuides: 0 | Official Routes: 6Triplogs Last: 2,504 d | RS: 20Water Reports 1Y: 0 | Last: 2,644 d
- Joined: Mar 28 2008 7:08 pm
- City, State: Phoenix, AZ
Re: Broken Ankle
I tore a calf muscle really badly a couple years ago, too. Between my two injuries, I learned a really important thing about healing: "No pain - no gain" is one of the dumbest sayings on the planet. If it is hurting, you are damaging it. Healing is a patience game.
contribute to this member driven resource
ie: RS > Save/Share after hikes


-
BobPGuides: 2 | Official Routes: 17Triplogs Last: 2 d | RS: 58Water Reports 1Y: 4 | Last: 275 d
- Joined: Feb 26 2008 3:43 pm
- City, State: Scottsdale, AZ
Re: Broken Ankle
It has more to do with exercise then it does with fighting thru injuries though. It is definitely a stupid saying ; as is most that comes from Jane Fonda's mouth.Tough_Boots wrote:No pain - no gain
https://www.seeitourway.org
Always pronounce Egeszsegedre properly......
If you like this triplog you must be a friend of BrunoP
Always pronounce Egeszsegedre properly......
If you like this triplog you must be a friend of BrunoP
contribute to this member driven resource
ie: RS > Save/Share after hikes


-
JimGuides: 75 | Official Routes: 38Triplogs Last: 7 d | RS: 78Water Reports 1Y: 10 | Last: 40 d
- Joined: Sep 08 2006 8:14 pm
Re: Broken Ankle
She should not have said, "No pain=no gain", as that implies pain from injuries is a good thing. I guess it was just a sign of the times. What could she have said, to encourage people to do hard things?

contribute to this member driven resource
ie: RS > Save/Share after hikes


-
BobPGuides: 2 | Official Routes: 17Triplogs Last: 2 d | RS: 58Water Reports 1Y: 4 | Last: 275 d
- Joined: Feb 26 2008 3:43 pm
- City, State: Scottsdale, AZ
Re: Broken Ankle
She was dressed in a leotard telling women to work out and its okay if your muscles are sore. She was just trying to make money just like Rich Simmons. She wasn't encouraging people to do hard things per se...just to get off the couch which is hard for some people. It became more popular with sports teams and gym rats working out ripping muscle which hurts ..but when it heals it gets bigger. Lots of people are credited with the saying and similar sayings. She just made it popular.Jim_H wrote:She should not have said, "No pain=no gain", as that implies pain from injuries is a good thing. I guess it was just a sign of the times. What could she have said, to encourage people to do hard things?
https://www.seeitourway.org
Always pronounce Egeszsegedre properly......
If you like this triplog you must be a friend of BrunoP
Always pronounce Egeszsegedre properly......
If you like this triplog you must be a friend of BrunoP
contribute to this member driven resource
ie: RS > Save/Share after hikes


-
outdoor_loverGuides: 7 | Official Routes: 6Triplogs Last: 44 d | RS: 2Water Reports 1Y: 36 | Last: 131 d
- Joined: Aug 19 2011 7:49 pm
- City, State: Scottsdale, AZ
Re: Broken Ankle
@Tough_Boots
Sorry Kyle, I'll have to disagree with you a little bit on this one...Probably depends on the Injury, but when the Rehabbers are telling you 3 days out of Surgery that something needs to be getting done, it frickin' HURTS! But it doesn't mean that I was "damaging" something or making it worse....I think I cried through most of my first week of Rehab, it was very painful....
Or...you could be like my Mother who's had both Knees replaced...Every time something hurt or she was uncomfortable doing the Exercises, she would quit or wouldn't push through it...And she wonders why she never really got "back" to any decent flexibility.... ;)
Sorry Kyle, I'll have to disagree with you a little bit on this one...Probably depends on the Injury, but when the Rehabbers are telling you 3 days out of Surgery that something needs to be getting done, it frickin' HURTS! But it doesn't mean that I was "damaging" something or making it worse....I think I cried through most of my first week of Rehab, it was very painful....
Or...you could be like my Mother who's had both Knees replaced...Every time something hurt or she was uncomfortable doing the Exercises, she would quit or wouldn't push through it...And she wonders why she never really got "back" to any decent flexibility.... ;)
Life is not a journey to the grave with the intention of arriving safely in a pretty & well preserved body, but rather to skid in broadside, totally worn out & proclaiming, "Wow What a Ride!"
contribute to this member driven resource
ie: RS > Save/Share after hikes


-
TrishnessGuides: 14 | Official Routes: 0Triplogs Last: 4,130 d | RS: 0Water Reports 1Y: 0 | Last: 4,821 d
- Joined: May 21 2003 9:33 pm
- City, State: Apache Junction, AZ
Re: Broken Ankle
Sorry to hear about your fractured ankle.....
I work for an orthopedic surgeon and have worked in ortho for almost 15 years. The ankle joint is complex so much depends on what was fractured (was it the lateral malleolus, calcaneus, distal fibula, distal tibia, talar dome or a combo of these?) as well as the type of fracture. There are also many types of fractures but I'm assuming you probably have a displaced comminuted fracture if you are having surgery. Your downtime also depends on your age, if you smoke and general overall health (diabetes etc) but what I've seen over the years is at least 3 months up to 6 months. An important part of recovery is physical therapy and following the recommendations of orthopedic surgeon as far as activity levels. If you try to do too much too soon you can actually do more damage on top of the traumatic damage to the joint and this will increase your healing time. Remember that your ankle joint supports the majority of the weight of your body. You'll probably be in a cast for a few weeks and then into a Cam walker or walking boot. Not sure if this helps and I wish you a speedy recovery.

Trish-Kabob
"May your trails be crooked, winding, lonesome, dangerous, leading to the most amazing view. May your mountains rise into and above the clouds" Ed Abbey
"May your trails be crooked, winding, lonesome, dangerous, leading to the most amazing view. May your mountains rise into and above the clouds" Ed Abbey
contribute to this member driven resource
ie: RS > Save/Share after hikes


-
RowdyandMeGuides: 7 | Official Routes: 0Triplogs Last: none | RS: 620Water Reports 1Y: 0 | Last: 787 d
- Joined: Jul 16 2012 5:48 am
- City, State: Green Valley,Az
Re: Broken Ankle
Well its been 10 days since I broke my ankle and I am still waiting to have surgery. I see the doctor tomorrow afternoon and hopefully the can operate either Friday or Saturday. This has beed so frustrating for me. I am suppose to move in to our new House on Monday and I feel helpless as I can't left anything.
As for as my ankle goes I know they will be putting plates and screws on both sides. I think my skin is the only thing keeping my foot attached other the cast they keep putting on.
I really hope to be back at work in 6 to 8 weeks. If not I more than likely will have to find a new job.
This sucks
As for as my ankle goes I know they will be putting plates and screws on both sides. I think my skin is the only thing keeping my foot attached other the cast they keep putting on.
I really hope to be back at work in 6 to 8 weeks. If not I more than likely will have to find a new job.
This sucks
Rowdy and Widowmaker
contribute to this member driven resource
ie: RS > Save/Share after hikes


-
sneakySASQUATCHGuides: 4 | Official Routes: 6Triplogs Last: 95 d | RS: 2Water Reports 1Y: 0 | Last: 2,213 d
- Joined: Aug 23 2005 9:26 am
- City, State: Pike National Forest, Co
Re: Broken Ankle
@Widowmaker
Hang In there. I'm going on 3 months and hoping for a Dr. Release tomorrow to go back in April. I still have some healing. It drove me nuts the first month because they wanted me in a wheelchair. I got permission to excercise on a recumbent bike before they wanted me walking and found 1.5 - 2 hrs/ day has kept me in pretty good shape. It doesn't beat getting outside, but it's kept me in good enough shape that I won't be starting from scratch when everything is healed. It also gave me something physical to do which helped me feel better than just watching tv or sitting around reading.
Hang In there. I'm going on 3 months and hoping for a Dr. Release tomorrow to go back in April. I still have some healing. It drove me nuts the first month because they wanted me in a wheelchair. I got permission to excercise on a recumbent bike before they wanted me walking and found 1.5 - 2 hrs/ day has kept me in pretty good shape. It doesn't beat getting outside, but it's kept me in good enough shape that I won't be starting from scratch when everything is healed. It also gave me something physical to do which helped me feel better than just watching tv or sitting around reading.


contribute to this member driven resource
ie: RS > Save/Share after hikes


-
RowdyandMeGuides: 7 | Official Routes: 0Triplogs Last: none | RS: 620Water Reports 1Y: 0 | Last: 787 d
- Joined: Jul 16 2012 5:48 am
- City, State: Green Valley,Az
contribute to this member driven resource
ie: RS > Save/Share after hikes


-
TrishnessGuides: 14 | Official Routes: 0Triplogs Last: 4,130 d | RS: 0Water Reports 1Y: 0 | Last: 4,821 d
- Joined: May 21 2003 9:33 pm
- City, State: Apache Junction, AZ
Re: Broken Ankle
@Widowmaker
Talk to your Human Resources Dept about filing for FMLA. There are guidelines that will protect your job:
Essentially FMLA protects you from being fired due to your injury, Your employer must grant you 12 weeks unpaid leave and they have to provide you a position (maybe not your original position but a position) when you return.
For employers to be considered as “covered” they must have 50 or more employees on their payroll in 20 or more work weeks in the existing, or previous calendar, and they must be involved in business. Public agencies, including state, federal and local employers, and local education agencies, regardless of the number of employees, also apply to the FMLA.
A covered employer must grant an eligible employee up to a total of 12 work weeks of unpaid leave during any 12-month span for any of the following reasons:
Pregnancy, prenatal medical care or childbirth-related incident
A severe health condition that makes the employee incapable of performing his or her job
To care for the employee’s child after birth, or placement for adoption or foster care
To care for the employee’s spouse, son or daughter, or parent who has a serious health condition
Google FMLA and it will give you all the details
Trish
Talk to your Human Resources Dept about filing for FMLA. There are guidelines that will protect your job:
Essentially FMLA protects you from being fired due to your injury, Your employer must grant you 12 weeks unpaid leave and they have to provide you a position (maybe not your original position but a position) when you return.
For employers to be considered as “covered” they must have 50 or more employees on their payroll in 20 or more work weeks in the existing, or previous calendar, and they must be involved in business. Public agencies, including state, federal and local employers, and local education agencies, regardless of the number of employees, also apply to the FMLA.
A covered employer must grant an eligible employee up to a total of 12 work weeks of unpaid leave during any 12-month span for any of the following reasons:
Pregnancy, prenatal medical care or childbirth-related incident
A severe health condition that makes the employee incapable of performing his or her job
To care for the employee’s child after birth, or placement for adoption or foster care
To care for the employee’s spouse, son or daughter, or parent who has a serious health condition
Google FMLA and it will give you all the details
Trish
Trish-Kabob
"May your trails be crooked, winding, lonesome, dangerous, leading to the most amazing view. May your mountains rise into and above the clouds" Ed Abbey
"May your trails be crooked, winding, lonesome, dangerous, leading to the most amazing view. May your mountains rise into and above the clouds" Ed Abbey
contribute to this member driven resource
ie: RS > Save/Share after hikes


-
RowdyandMeGuides: 7 | Official Routes: 0Triplogs Last: none | RS: 620Water Reports 1Y: 0 | Last: 787 d
- Joined: Jul 16 2012 5:48 am
- City, State: Green Valley,Az
Re: Broken Ankle
Well I move into my new house on Monday and will have surgery on Tuesday
Rowdy and Widowmaker
contribute to this member driven resource
ie: RS > Save/Share after hikes


-
big_loadGuides: 0 | Official Routes: 1Triplogs Last: 641 d | RS: 3Water Reports 1Y: 0 | Last: 2,530 d
- Joined: Oct 28 2003 11:20 am
- City, State: Andover, NJ
Re: Broken Ankle
Good luck with both.Widowmaker wrote:Well I move into my new house on Monday and will have surgery on Tuesday
contribute to this member driven resource
ie: RS > Save/Share after hikes

